Mindray Introduces NMT Module for Passport OR Monitors at ASA 2017

Mahwah, NJ – October 21, 2017  New Neuromuscular Transmission Module demonstrates continuing focus on solutions for the demanding anesthesia environment; Anesthesiology 2017 in Boston also showcases significant updates in anesthesia and ultrasound solutions In conjunction [...]

2022-06-13T16:25:44-04:0010-23-2017|

Oregon Tech Partners with Mindray for High Tech Ultrasound Education

July 27, 2017, Klamath Falls, OR – To better prepare its ultrasound students to compete and thrive in the evolving healthcare environment, Oregon Institute of Technology (Oregon Tech) partnered with Mindray North America to [...]

2022-06-13T16:25:39-04:0007-27-2017|

Enabling the Midwives of Uganda to Help Save Lives with State-of-the Art Ultrasound Technology

Mindray Works with Microfinancing Partners in Africa to Bring Much Needed Ultrasound Imaging to Uganda Mountain View, Calif. – June 1, 2017 – Microfinancing Partners in Africa (MPA), a non-profit organization, focuses on the [...]

2022-06-13T16:25:35-04:0006-01-2017|

AACN / NTI 2017, Booth 4331: Experience Mindray’s Commitment to Critical Care

Mahwah, NJ – May 12, 2017. To support the education mission of the National Teaching Institute of the AACN, Mindray is pleased to provide educational sessions on the challenges of data integration, Barbara McLean [...]

2017-09-06T00:39:17-04:0005-12-2017|

Mindray Appoints Mark Miller Vice President, North America Ultrasound Sales

Longtime Industry Veteran Reteams with Next Generation Ultrasound Thought Leaders Mountain View, Calif. – May 10, 2017 – Mindray, a developer of next generation ultrasound technology, announced the appointment of Mark Miller as vice [...]

2022-06-13T16:25:27-04:0005-10-2017|

Mindray Ultrasound Names Elhihi Director Of North American Marketing

Medical Industry Veteran Joins Mindray Innovation Center in Silicon Valley Mountain View, Calif. – April 25, 2017 - Mindray, a developer of next generation ultrasound technology, announced the recent appointment of Maher Elhihi as [...]

2022-06-13T16:25:22-04:0004-25-2017|

Mindray Introduces Resona 7 to the Premium Ultrasound Market in North America

Mountain View, CA – November 22, 2016 New Hybrid System Combines Significant Advanced Applications with Next Generation ZONE Sonography® Technology  Shenzhen Mindray Bio-Medical Electronics Co.,Ltd. (Mindray), a leading global developer, manufacturer and marketer of [...]

2021-03-31T14:47:40-04:0011-22-2016|

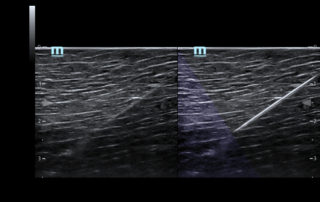
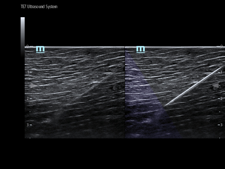
Mindray Introduces Specialized Transducer and Enhanced iNeedle on TE7 Touch Enabled Ultrasound System for Anesthesia Applications

Mahwah, NJ - October 22, 2016  In conjunction with the American Society of Anesthesiologists (ASA) meeting in Chicago opening today, Mindray announces the introduction of its new L20-5s ultra high frequency linear transducer with [...]

2023-02-13T17:34:19-05:0010-22-2016|
Go to Top